歯をきれいにするの解説
ホーム>歯をきれいにする
歯をきれいにする
歯をきれいにする
クリーニング
吉祥寺セントラルクリニックでは、ジェットという特殊な器具と超音波スケーラーでステイン(茶渋、タバコのヤニなどの歯の汚れ)を除去するクリーニングを行っております。歯周病治療を目的とする歯石の除去とは異なり、歯に付着した汚れを落とすことを目的とした審美的な処置となるため、保険外治療となります。
クリーニングのご案内(保険外治療)
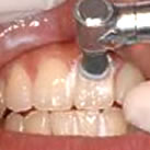
ジェット
![shishubyo41-3[1] shishubyo41-3[1]](swfu/d/auto-jFlnQg.jpg)
クリーニングには、ジェットという特殊な洗浄器と超音波スケーラーを用いています。ジェットによるクリーニングは、塩水を吹きかけて汚れを落とします。超音波スケーラーは、超音波振動により歯の表面に付着した汚れを落とします。
どちらのクリーニングも痛みを感じることはほとんどなく、歯や歯肉を傷つける心配もありません。
- クリーニングの時間と回数
クリーニングは1回20分間とさせていただいております。汚れのひどくない方の場合は1回できれいになりますが、ステインの付着がひどい方は数回のクリーニングが必要となる場合がございます。
- 費用について
クリーニング(茶渋やタバコのヤニなどのステイン除去)は、歯石の除去とは異なり保険が適用されません。保険外治療で1回20分間につきまして5,000円(税抜)となっております。
ご通院いただく回数は、ステイン(汚れ)の状態により1回~数回です。
保険治療(歯石除去)との併用
クリーニングだけでは歯石を除去することができませんので、当クリニックのほとんどの患者様は同時に歯石除去(保険治療)を申し込まれております。保険治療で歯石を除去し、クリーニングで歯の汚れ(茶渋、タバコのヤニなどのステイン)を除去されています。 [#f0f62cf2]
更にPMTCやフッ素塗布も同時に申し込み、虫歯・歯周病予防に取り組まれている患者様も多数いらっしゃいます。
PMTC
![shishubyo42-3[1] shishubyo42-3[1]](swfu/d/auto-ZjCixu.jpg)
PMTCとはProfessional Mechanical Tooth Cleaningの略称で、ご自分で行っていただく毎日の歯磨きでは落ちない歯の汚れを歯医者さん(Professional)で専用機器を用いて(Mechanical)綺麗に落としてもらうことです。磨き残してしまった部分や歯ブラシでは磨くことができない歯周ポケット(歯と歯肉の間の溝)内の歯の根の部分も、キレイに磨き上げて汚れを取り除きます。
PMTCは国家資格を有する歯科のプロ(歯科医師または歯科衛生士)が行う補助的な清掃です。スケーリング・クリーニングとは目的・器具・方法が違いますので、歯石除去・ステイン除去も希望される患者様は、別途でスケーリング・クリーニングをお申し込みください。
PMTCのご案内(保険外治療)
微粒子研磨ペーストを使用して歯の表面や根元の部分を回転ブラシやカップなどで綺麗に磨き上げていきます。歯と歯の間に関してはデンタルフロスを使用し磨き、更に様々な形のチップなどを用いて綺麗に汚れを取り除いていきます。
- こんな方におすすめ!
- 治療ではなく、歯磨きの手伝いをして欲しい方
特に歯の痛みや歯肉の腫れを感じているわけではないけれど口の中をすっきりさせたい方や、毎日のブラッシングでの磨き残しがご心配な方がPMTCを希望されています。 - インプラントを入れられた方
インプラント治療後のプラークコントロールが不十分だとインプラント周囲炎という歯周病(歯槽膿漏)のような病気にかかることがあります。当クリニックでは、インプラント治療後のメンテナンスの一環として定期的なPMTCをおすすめしております。 - 矯正治療中の方
矯正装置の周りの汚れなどは、ご自分ではなかなか綺麗に取り除くのが難しいものです。矯正治療中の虫歯を予防したい方や、お口の中をすっきりさせたい方がPMTCを受けられています。 - ブリッジなどがある方
ブリッジを装着すると、歯のない部分に汚れがたまりやすくなります。人工歯の隙間などの汚れはご自分では取り除くのが難しく、口腔ケアが十分でないと歯周病(歯槽膿漏)の発症リスクが高まります。
- 治療ではなく、歯磨きの手伝いをして欲しい方
- PMTCを受けるに当たってのご注意
- 歯石を除去することはできません
PMTCは補助的な清掃で、歯に付着した歯石を取り除くことはできません。すでに歯石を取り除いてあることが施術の条件となります。施術前のチェックで歯石の付着が見られる方には、最初に歯石除去の治療をおすすめしております。 - 歯周病(歯槽膿漏)の方には施術できません
PMTCは、主に歯周病(歯槽膿漏)・虫歯を予防するための治療です。PMTCでは歯石を除去することができませんので、すでに歯周病(歯槽膿漏)を発症している方には適用できません。
歯周病(歯槽膿漏)の治療を終えた方のメンテナンスとしては非常に効果の高い治療ですので、定期的に受けられることをおすすめしております。 - 保険が適用されません
PMTCは“予防”を目的として行われる処置ですので保険が適用されず、保険外治療となります。
- 歯石を除去することはできません
保険治療、フッ素塗布との併用で虫歯・歯周病予防
当クリニックでは、虫歯予防や歯周病(歯槽膿漏)予防のためリコール(定期検診)制度を設けております。
リコール(定期検診)の内容
虫歯治療・歯周病治療を終了された患者様で、3カ月に一度必ず下記メンテナンスを受けられており、歯垢や歯石などの付着があまりない患者様を参考にしております。歯垢や歯石などの付着状態により、費用や時間が異なってくる場合もございますのでご了承ください。
保険治療の虫歯検査+歯周病検査+スケーリング(歯石除去)
最初に検査を行い、虫歯・歯周病が見つかった場合には、治療を優先いたします。
歯石は虫歯・歯周病の直接の原因とはなりませんが、歯石があることで歯垢(プラーク)が溜まりやすくなり、虫歯・歯周病のリスクが高くなります。
費用:保険3割負担で約3,500円(初診費用やレントゲン費用を含んだ場合)
PMTC
専用機器を用いて、磨き残してしまった部分や歯ブラシが届かない歯周ポケット内の歯根部も綺麗に清掃します。施術後は歯の表面がつるつるになり、汚れが付着しにくくなります。また、歯の汚れを綺麗に落とすことでフッ素が浸透しやすくなり、フッ素塗布の効果が高まります。
費用:5,000円(税抜)
フッ素塗布
フッ素は歯の主成分であるハイドロシキアパタイトと結合し、酸に強い歯質を形成します。また、細菌の活動を抑制する性質を持ちますので、フッ素を塗布することで虫歯になりにくい歯を作ることができます。
費用:3,000円(税抜)
ダイレクトボンディング
ダイレクトボンディングで白く、美しい歯並びに
![whiteimg53-2[1] whiteimg53-2[1]](swfu/d/auto-XJ9xnG.jpg)
ダイレクトボンディングとは、お口の中で直接歯にレジンを盛って修復する治療法です。割れたり欠けたりした歯を修復したり、歯の隙間を埋めたり、歯の色を改善したりすることが出来ます。
ダイレクトボンディングに使用するレジンは保険治療で使用するレジンよりも高品質で審美性が高いものになります。さまざまな色調のレジンを少しずつ塗り重ねて形成しますので、自然な歯の色に近い美しい色合いに仕上げることができます。
ダイレクトボンディングの利点
- 短期間で歯並びをきれいにできます
ダイレクトボンディングで歯の欠けや隙間を埋め、歯並びを白くきれいに整えることが出来ます。歯を大きく削ったり、歯型を取ったり、歯を動かしたりする必要がありませんので、短期間で美しい歯並びにすることが出来ます。
- 健康な歯を削ることがほとんどありません
歯が欠けたり削れたりした部分に直接レジンを塗り重ねて行きますので、治療のために歯をけずる必要がほとんどありません。
- 自然な白さで、変色がしにくいです
多数の色調のレジンを何層にも塗り重ねて行きますので、天然の歯に近い自然な白さに仕上げることができます。また、使用するレジンは保険のレジンよりも高品質で変色がしにくいという特性を持っています。
- 自然な硬さで、周りの歯を傷めません
保険の金属の詰め物や被せ物と比べて柔らかい(硬すぎない)ため、かみ合う歯や周囲の歯を傷めません。
- 破損しても修理がしやすいです
セラミックや金属と比べると割れたり欠けたりしやすいですが、レジンという特性上、比較的修理が簡単です。
- セラミック治療よりも安価です
保険適用外でやや高価ですが、他のセラミック治療(ハイブリッドセラミック治療、メタルボンドセラミック治療、オールセラミック治療、ジルコニアオールセラミック治療)よりも安価です。
- 短期間で治療が終わります
歯型を採取したり、冠などの技工物を作る必要がありませんので、他のセラミック治療(ハイブリッドセラミック治療、メタルボンドセラミック治療、オールセラミック治療、ジルコニアオールセラミック治療)と比べ短期間で治療を終えることが出来ます。
ダイレクトボンディングの欠点
- 1回の治療時間が長くなることがあります
色調の違う何種類ものレジンを少しずつ丁寧に歯に塗り重ねて行きますので、1本の歯を仕上げるのに1時間以上を要することがございます。
- 保険のレジンよりも高価です
ダイレクトボンディングは保険が適用されませんので、保険のレジンよりも高価になります。
- 欠損が大きい場合は適しません
レジンという性質上、セラミックや金属と比べると強度の面で劣るため、欠損部が広範囲の場合には適しません。
また、歯ぎしりのくせがある方やかみしめが強い方にも適さない場合があります。
- 歯科医師の技量に仕上がりが左右されます
ダイレクトボンディングは歯科医師が直接歯の上にレジンを塗り重ねて行きますので、歯科医師の技術によって仕上がりに差が出ます。審美性を求められる方は、審美歯科治療の実績がある歯科医院を選ばれることをおすすめします。
上記記事は、
吉祥寺セントラルクリニック
東京都武蔵野市吉祥寺本町1-4-18-5F
TEL:0120-203-640
からの情報発信です。この記事を見て通院したいなと思う方は、以下をクリックしてください。
スポンサード リンク
ホーム>歯をきれいにする
![shishubyo42-1[1] shishubyo42-1[1]](swfu/d/auto-BsNKrp.jpg)
![shishubyo42-2[1] shishubyo42-2[1]](swfu/d/auto-ZClI4r.jpg)
